
"Minha missão vai além de alinhar dentes. Acredito na ortodontia como uma ferramenta de transformação emocional”.


Invisalign Top Doctor


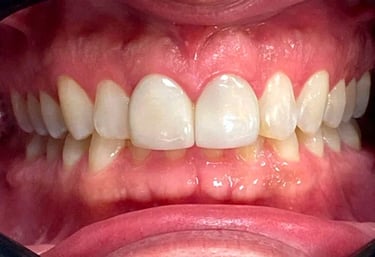
Ortodontista apaixonada pela transformação que um sorriso pode causar.
Tratamentos modernos, confortáveis e precisos.
Um sorriso bem cuidado é um caminho para mais confiança, leveza e bem-estar.





Tratamentos personalizados
Atendimento humanizado
Ambiente sofiscado e acolhedor
+7 anos de experiência
Benefícios para quem usa os alinhadores transparentes


São a solução mais moderna e confortável da ortodontia atual. Veja por que eles são a escolha ideal para quem busca conforto, tecnologia e praticidade.


Conforto e leveza
Sem fios, sem metal, sem constrangimentos. Os alinhadores são transparentes, praticamente imperceptíveis, você pode sorrir com confiança desde o primeiro dia.


Tratamento mais rápido!
Graças à tecnologia avançada do Invisalign, é possível alcançar resultados em menos tempo do que com os aparelhos tradicionais.


Removíveis
Você pode tirar para comer, escovar os dentes, ficar a vontade em momentos especiais, sem restrições alimentares e sem dificultar sua higiene.


Menos visitas ao consultório
O tratamento é planejado digitalmente, o que reduz a frequência de retornos e economiza seu tempo.


Tecnologia e previsibilidade
Com o escaneamento 3D, você vê o antes e depois do seu sorriso antes mesmo de iniciar. Tudo é planejado com precisão e transparência.


Ideal para adultos e mães modernas
Se você trabalha, cuida da casa, dos filhos e ainda quer cuidar de si, o Invisalign é o aliado perfeito: discreto, eficiente e adaptável à sua rotina.

Soluções para diversas correções dentárias
A tecnologia do Invisalign possibilita o tratamento de diversas formas de má oclusão, sendo indicado para todas as idades, sem contra indicações. Veja alguns exemplos:








Dentes desalinhados
Correção de posicionamentos irregulares para um sorriso mais harmônico.
Espaçamentos
Fechamento de espaços excessivos entre os dentes.
Mordida Cruzada
Ajuste da oclusão para melhorar estética e funcionalidade.
Sobremordida e Prognatismo
Correção de desalinhamentos entre as arcadas dentárias.
Dra. Daniele Trivelato
Sou ortodontista e apaixonada pela transformação que um sorriso pode causar, não só na estética, mas principalmente na autoestima e na forma como cada pessoa se enxerga. Desde 2018, atuo com os alinhadores Invisalign, trazendo a tecnologia para dentro da clínica e proporcionando um tratamento moderno, confortável e preciso. Sou casada e mãe de dois filhos, o que também me faz enxergar cada paciente com ainda mais empatia, cuidado e atenção aos detalhes.
Cirurgiã-dentista formada pela Unoeste (Universidade do Oeste Paulista) desde 1994. Ao longo da minha trajetória, busquei constante atualização na ortodontia: iniciei com cursos em ortodontia preventiva e interceptiva na UNESP de Araçatuba, além de uma atualização em ortodontia corretiva, também pela UNESP. Mais tarde, concluí minha especialização em Ortodontia na ABO – Associação Brasileira de Odontologia de Cuiabá, com base na técnica Ricketts.
Minha Missão
Minha missão vai além de alinhar dentes. Acredito na ortodontia como uma ferramenta de transformação emocional. Cada tratamento é feito com escuta, cuidado e sensibilidade, respeitando a individualidade de cada paciente. Para mim, um sorriso bem cuidado é um caminho para mais confiança, leveza e bem-estar.






Perguntas Frequentes
O que torna a consulta com a Dra. Daniele diferente das outras Clínicas?
Qual a diferença entre uma consulta tradicional e uma consulta especializada com tecnologia digital?
Por que esse é o melhor momento para iniciar um tratamento ortodôntico com os alinhadores invisíveis?
Quanto custa um tratamento com os alinhadores? E por que a marca Invisalign é tão recomendada?
O tratamento com os alinhadores Invisalign é mais rápido que o aparelho tradicional?
Os alinhadores transparentes dói muito? É verdade que posso comer de tudo durante o tratamento?
A Dra. Daniele vai muito além de apenas “olhar os dentes”. Ela oferece um atendimento especializado, tecnológico e humano, com escaneamento digital 3D, planejamento individualizado e escuta atenta. Cada paciente é acolhido com empatia, tendo sua história e objetivos levados em consideração. É uma experiência que une ciência, estética e bem-estar emocional.
A consulta tradicional é apenas visual e tátil com espelhos e sondas, feito "a olho", com margens de erro maiores. Não permite prever o resultado final com clareza. Menos recursos para explicar o tratamento ao paciente. Menor precisão no diagnóstico. Ja a consulta especializada com tecnologia digital Utiliza escaneamento intraoral 3D, sem moldes desconfortáveis. Permite ver o antes e o depois do seu sorriso antes mesmo de começar. Planejamento personalizado com auxílio de softwares avançados. Mais segurança, previsibilidade e clareza no tratamento. Diagnóstico preciso e atendimento humanizado.
Porque qualquer idade é tempo de cuidar do sorriso! Apesar de muitos pensarem que ortodontia é coisa de adolescente, adultos têm excelentes resultados, especialmente com os alinhadores invisíveis. O ideal é iniciar assim que surgirem desconfortos estéticos ou funcionais (como dentes tortos, mordida cruzada, dores na mandíbula, etc).
O valor depende da complexidade de cada caso e do tipo de tratamento. Por isso, é essencial passar por uma avaliação personalizada. A Dra. Daniele oferece avaliação gratuita com escaneamento digital 3D, sem compromisso.
Sim! Em muitos casos, o tratamento com alinhadores invisíveis pode ser mais rápido do que o aparelho fixo, especialmente em casos leves a moderados. No entanto, a duração exata depende de diversos fatores, como a complexidade do seu caso, a resposta dos seus dentes e a frequência de uso dos alinhadores. E o melhor com a tecnologia de escaneamento é possível ter uma previsão precisa do tempo de tratamento e até mesmo ver uma simulação do antes e depois do seu sorriso antes de começar. Assim, você inicia o processo com segurança, confiança e clareza nos resultados.
É comum sentir uma leve sensação de pressão nos primeiros dias de cada novo alinhador, isso indica que os dentes estão se movendo. Mas, ao contrário dos aparelhos fixos, o Invisalign evita machucados com fios ou bráquetes. Os alinhadores são removíveis, você pode tirá-los para comer e beber, o que significa que não há restrições alimentares como nos aparelhos fixos.
Endereço
R. Dr. Eduardo Machado Metelo, 95 - Chácara Cachoeira, Campo Grande MS








